ECOGRAFIE
Che cosa è l’Ecografia?
L’ecografia è una tecnica che consente di vedere gli organi del nostro corpo con l’utilizzo di onde sonore ad alta frequenza (ultrasuoni, non udibili dall’orecchio umano) che attraversano i tessuti. La sonda ecografica invia impulsi di onde sonore nel corpo. Quando le onde sonore arrivano al feto mandano degli echi: tali echi (o onde di ritorno) sono trasformati in immagini sul monitor dell’ecografo. Con l’ecografia è quindi possibile osservare in modo dettagliato il feto.
Ecografia Transvaginale in Gravidanza
A fianco alla più tradizionale ecografia eseguita per via transaddominale, risulta particolarmente utile nell’esame ecografico ostetrico e ginecologico la via di accesso transvaginale.
Con questa metodica, utilizzando delle sonde ecografiche appositamente predisposte (per forma e dimensione, e per frequenza di emissione degli ultrasuoni) è possibile controllare la gravidanza nel primo trimestre con una qualità e definizione d’ immagine nettamente superiori a quanto possibile per via transaddominale.
Per eseguire l’ecografia transvaginale non è richiesta la vescica piena, diversamente rispetto a quanto richiesto per l’ecografia transaddominale. L’approccio transvaginale consente di aggirare l’ostacolo dovuto ad un aumentato spessore della parete addominale (obesità). In questi casi infatti la qualità d’ immagine in caso di ecografia transaddominale viene fortemente penalizzata dall’eccessivo spessore del pannicolo adiposo addominale.
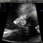
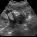
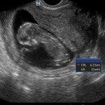
Con l’ecografia transvaginale è possibile vedere dopo circa 3 settimane dal concepimento la camera gestazionale nella cavità uterina. Successivamente è possibile visualizzare l’embrione (3-5 mm.) a circa 6 settimane dall’ultima mestruazione (4 settimane dal concepimento) ed a questo periodo è già visibile l’attività cardiaca fetale Anche i primi dettagli sulla morfologia fetale (polo cefalico, abbozzi degli arti) sono visualizzabili più precocemente con l’ecografia transvaginale, risultando essi visibili intorno a 8-9 settimane.
Con l’ecografia dei primi mesi di gravidanza, si può anche valutare la normalità dell’utero (eventuale presenza di fibromi già preesistenti alla gravidanza) e delle ovaie.
Con il finire del primo trimestre per il controllo ecografico di routine della gravidanza la via transvaginale viene poi sostituita dalla via transaddominale.
Successivamente può risultare utile il ricorso all’ ecografia transvaginale nei casi in cui si sospettino delle modificazioni precoci (raccorciamento) del collo dell’utero, come potrebbe verificarsi nei casi di minaccia d’ aborto o di parto pretermine.
In questi casi infatti è possibile con l’ ecografia misurare con precisione la lunghezza del collo uterino. In questi casi inoltre l’ ecografia può anche evidenziare un’ iniziale dilatazione dell’ orifizio uterino interno. Tali modificazioni del collo dell’ utero, valutabili con accuratezza solo con l’ ecografia transvaginale, hanno una grande importanza nel considerare un eventuale rischio di parto pre-termine.




























